Jakob Matschke
Priv.-Doz. Dr. med.
Jakob Matschke
  • Deputy director of the institute
  • Head of Forensic Neuropathology
  • Senior physician
  • Medical Specialist in Forensic Medicine
  • Medical Specialist in Neuropathology
Location

O38, 2nd Floor, Room number 236

Forensic Neuropathology

Connecting neuropathology with forensic medicine, forensic neuropathology is a relatively young subdiscipline just at the very interface of both main disciplines, helping with some of the notoriously difficult issues of forensic pathology. We mainly focus on fatal abusive head trauma in infants (formerly known as shaken baby syndrome), trying to elucidate the pathogenic mechanisms behind it, at the same time improving and standardizing diagnostic criteria, creating a more solid scientific basis in this field. Other interest are neuropathologic features in sudden infant death syndrome (SIDS) and, closely related, sudden unexpected death in epilepsy (SUDEP). Furthermore, we investigate whether neurodegenerative changes might be a risk factor for suicide.

Over the years, we have established ourselves as experts for the diagnosis of abusive head trauma in infants, working on cases in close connections with the forensic pathologists, appearing as experts for the prosecution at courts throughout Germany. We were able to build an archive of nearly 100 cases, allowing for scientific studies on a large scale.

We and others have now convincingly shown that victims of abusive head trauma suffer from hypoxic-ischemic brain injury as the main culprit of brain damage, while diffuse traumatic axonal injury is contrary to former theories rare or absent.

APP-positive axons in abusive head trauma are only seen scattered mainly in the brain stem in the vicinity of important regulatory centers in the lower brainstem, most likely acting as a surrogate marker for the sudden apnea and/or circulatory arrest which is typical for abusive head trauma.

Schematic drawing of the central pattern generator for respiration in the lower brainstem with immediately adjacent focal traumatic axonal injury.

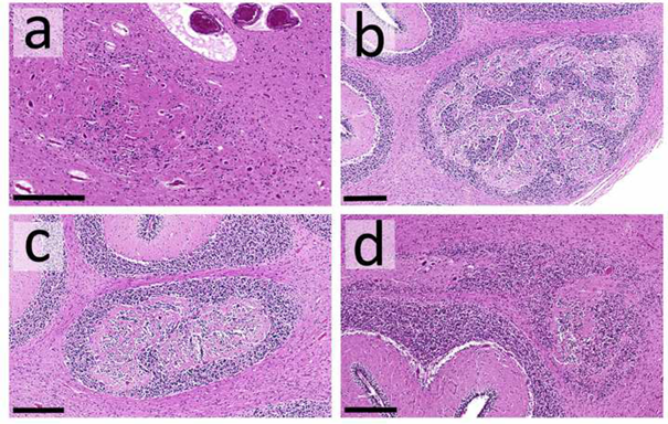
Cerebellar heterotopia of infancy, a peculiar malformation in the cerebellum, seen nearly exclusively in victims of SIDS.